MARNIE (♀) – ausgereist zu Vierbeiner in Not (SAS)
Hündin
geb. 2017
Größe: ca. 25cm
UPDATE August 2025:
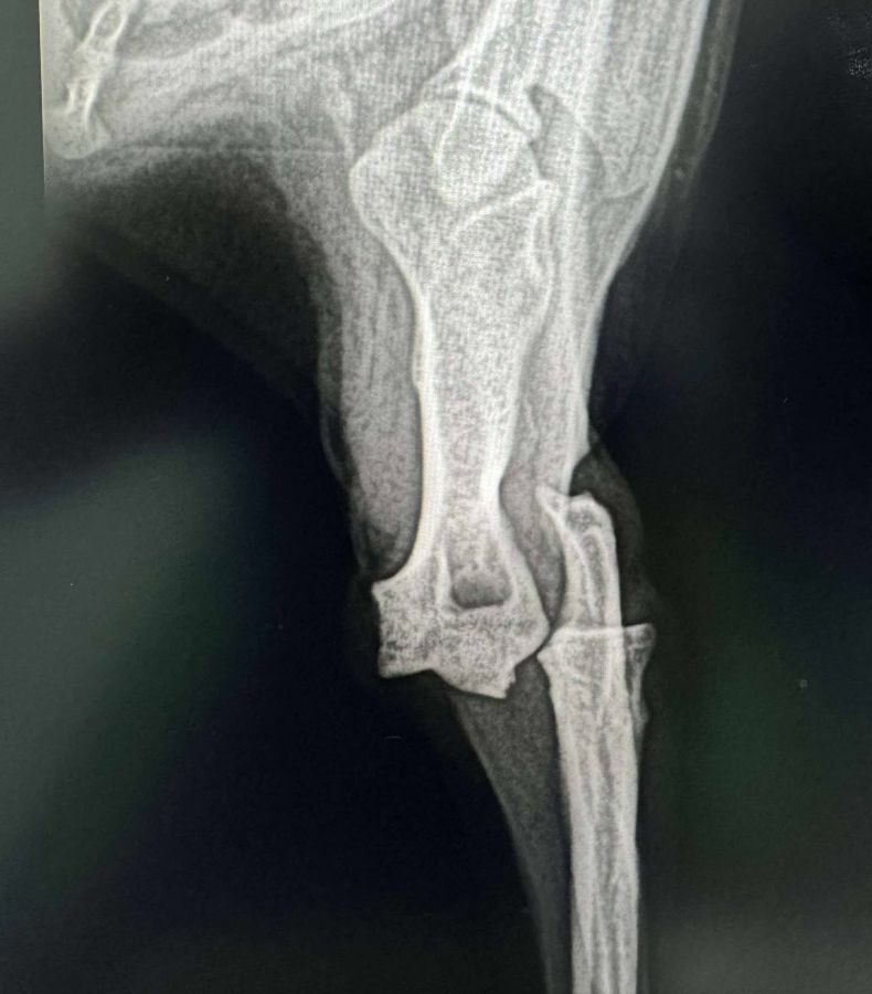
Bei der kleinen MARNIE wurde festgestellt, dass ihr Beinchen weiterhin geschwollen ist. Daher wurde sie in der Klinik gebracht und geröntgt. Dabei zeigte sich, dass das Bein gebrochen ist und nun entsprechend behandelt und operiert werden muss. MARNIE war dabei ganz lieb und hat alles geduldig mitgemacht.
____________________
Die kleine MARNIE wurde von einem Auto angefahren und hat dabei zum Glück keine schweren Verletzungen davongetragen. Sie humpelt aktuell noch leicht vorne, doch unsere Tierärztin hat sie gründlich untersucht: Es ist nichts ist gebrochen. MARNIE zeigt sich sehr lieb und zugänglich. Momentan ist sie noch etwas beeindruckt und vorsichtig, verarbeitet aber alles ganz tapfer. Mit etwas Ruhe und Pflege wird sie sich sicherlich schnell erholen und bereit sein für ein liebevolles Zuhause.
E 07/25 Cris/SS VH
A 07/25 JaH/SS Fotos VH
A 08/25 Mis/SS Fotos, Text
Kontakt
info@prodogromania.de
Dauerpaten:
keine
Video’s von
MARNIE (♀) – ausgereist zu Vierbeiner in Not (SAS)
Der Verein übernimmt keine Gewähr für in der Galerie beschriebene Eigenschaften der Hunde. Weder für charakterliche und rassebedingte Eigenschaften noch im Hinblick auf Gesundheit, Altersangabe, Geschlecht, Größe und Kastrationstatus.
E 07/25 Cris/SS VH
A 07/25 JaH/SS Fotos VH
A 08/25 Mis/SS Fotos, Text
Kontakt
info@prodogromania.de
Dauerpaten:
keine
Auswahl einschränken
Vermittlungsstatus
Shelter
Geschlecht
Größe
Altersgruppe
Halteranforderung
Aufenthaltsort
Tierschützer
Dauerpaten vorhanden
Rettungspaten vorhanden
Im Shelter seit
Besonderheit
Vermittler
Geburtsjahr
Erfasserin
Galeriepflegerin
Letzte Erfassung
We use cookies on our website to give you the most relevant experience by remembering your preferences and repeat visits. By clicking “Accept”, you consent to the use of ALL the cookies.
This website uses cookies to improve your experience while you navigate through the website. Out of these, the cookies that are categorized as necessary are stored on your browser as they are essential for the working of basic functionalities of the website. We also use third-party cookies that help us analyze and understand how you use this website. These cookies will be stored in your browser only with your consent. You also have the option to opt-out of these cookies. But opting out of some of these cookies may affect your browsing experience.
Necessary cookies are absolutely essential for the website to function properly. This category only includes cookies that ensures basic functionalities and security features of the website. These cookies do not store any personal information.
Any cookies that may not be particularly necessary for the website to function and is used specifically to collect user personal data via analytics, ads, other embedded contents are termed as non-necessary cookies. It is mandatory to procure user consent prior to running these cookies on your website.